胰岛素(Insulin)是mRNA转录和翻译的有效诱导剂,有助于代谢调节。尤其是饭后,胰岛素会引起多种代谢反应,控制体内的营养激增,并维持代谢健康。相反的,胰岛素抵抗会破坏体内代谢平衡,引发与肥胖相关的代谢性疾病,包括Ⅱ型糖尿病、非酒精性脂肪肝等。尽管过去几十年对于胰岛素以及代谢性疾病的研究一直在进行,但胰岛素的作用与抵抗机制与这些病理的联系仍未得到充分认识。同时,胰岛素可能与调节mRNA 稳定性的加工体(processing body,P-body)有联系。但是胰岛素究竟能否以及怎样通过P-body调控mRNA稳定性目前尚无报道。
2022年7月,南京大学医学院模式动物研究所陈帅/王宏宇团队在Nature Communications在线发表了题为“TRIM24 is an insulin-responsive regulator of P-bodies”的文章,报道了利用TRIM24点突变小鼠模型,探究TRIM24在胰岛素调控P-body的功能中的作用,同时对脂肪肝的治疗也具有深远意义。(本研究所采用的点突变模型TRIM24S1043A,即B6/JGpt-Trim24em1Cin(S1043A)/Gpt,由集萃药康构建。)
1.TRIM24是肝脏中受胰岛素调节的磷酸化蛋白
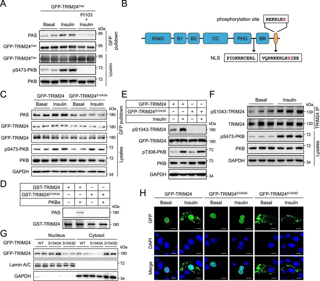
为了了解胰岛素如何调节肝功能,研究者使用胰岛素处理小鼠,并借助通用磷酸化Akt底物(PAS)抗体检测肝脏中的蛋白质。在之前的研究中,TRIM蛋白已经被发现是PI-3K-PKB途径的调节因子,但是胰岛素在其中是否起到作用,或者如何起到作用的机制尚不明确。TRIM24作为被确定的潜在PAS反应蛋白,在本研究中也被确定为胰岛素反应中潜在的磷酸化蛋白。一方面研究者发现PAS免疫沉淀物中存在TRIM24,另一方面在HEK293细胞中表达融合蛋白GFP-TRIM24的研究中,发现在胰岛素刺激时,TRIM24的PAS反应性磷酸化增加,而PI-3K抑制剂或PKB/Akt抑制剂预处理该细胞,PAS反应则会被抑制。这些数据表明了TRIM24是一种PKB/Akt底物,胰岛素会刺激其磷酸化(图1)。
图1.TRIM24受到胰岛素刺激通过PI-3K-PKB途径磷酸化
2.胰岛素通过将TRIM24的第1043位的丝氨酸(Ser)的磷酸化将其从细胞核转移到细胞质
TRIM24是一种核蛋白,具有两个预测的独立核定位信号(NLS)。NLS1位于该基因的903-912个氨基酸,NLS2位于该基因的1034-1046个氨基酸。在本研究中胰岛素刺激降低了HEK293细胞中GFP-TRIM24在核中的丰度,提高了其在胞质基质的丰度,这意味着一部分GFP-TRIM24从细胞核易位到细胞质中,并形成穿刺点分散在细胞质基质中。有趣的是,使用核输出抑制剂(Lmb)处理,则会阻断胰岛素诱导的胞质GFP-TRIM24增加,以及核GFP-TRIM24的减少(图2)。
图2.胰岛素可以诱导TRIM24的核质定位改变
上述数据揭示TRIM24磷酸化可能控制其在胰岛素作用下核质定位改变。结合胰岛素诱导的PAS反应性磷酸化位点位于TRIM24的C端的研究背景,同时Ser1043以及周围序列符合PAS抗体的结合基序。研究者替换含有非磷酸化丙氨酸(Ala)的Ser1043阻断了胰岛素/PKB介导的TRIM24的PAS反应性磷酸化,在细胞内和体外都是如此。因此,作者采用了一种位点特异性抗体用于识别磷酸化的Ser1043(pSer1043)。结果表明胰岛素显著增加了GFP-TRIM24上Ser1043的磷酸化,当该位点突变为Ala时,磷酸化被阻止。当Ser1043突变成类似磷酸化的天冬氨酸(Asp),可以发现GFP-TRIM24S1043D突变蛋白主要存在于细胞质基质,GFP-TRIM24S1043A突变主要存在于细胞核,并且胰岛素不能再将其转移到细胞质基质中。值得注意的是,在不考虑胰岛素刺激的情况下,GFP-TRIM24S1043D突变蛋白会形成胞质病灶,这与胰岛素刺激下GFP-TRIM24的变化相似。综上所述,胰岛素通过促进TRIM24中Ser1043磷酸化,从而将其从细胞核易位到细胞质基质中(图3)。
图3.胰岛素促进TRIM24中Ser1043磷酸化,改变TRIM24的核质定位。
3.TRIM24与胞质P-bodies关键成分的交互作用
为了了解TRIM24在细胞质基质中的潜在作用,研究者在HEK293细胞中表达GFP-TRIM24融合蛋白。通过免疫沉淀,借助质谱法鉴定免疫沉淀物中的蛋白质,其中发现了多种P-bodies的成分,包括LSM1,EDC4,AGOs和GW182。通过免疫印迹验证了包括上述蛋白质以及P-bodies的另外两个标记物DDX6和DCP1。同样在肝裂解物的内源性TRIM24的免疫沉淀物中也检测到内源性的上述蛋白。EDC4、AGO1和AGO2与GFP-TRIM24共表达的结果也证明了GFP-TRIM24与部分P-bodies组分之间的相互作用。研究者进一步检测发现仅在胞质GFP-TRIM24S1043D与mCherry-LSM1共表达,同时部分EDC4、AGO1和AGO2也被检测出。这意味着P-bodies可能存在多种类型,细胞质中的TRIM24可能与其部分亚群有关(图4)。
图4.胞质TRIM24与P-bodies的相互作用
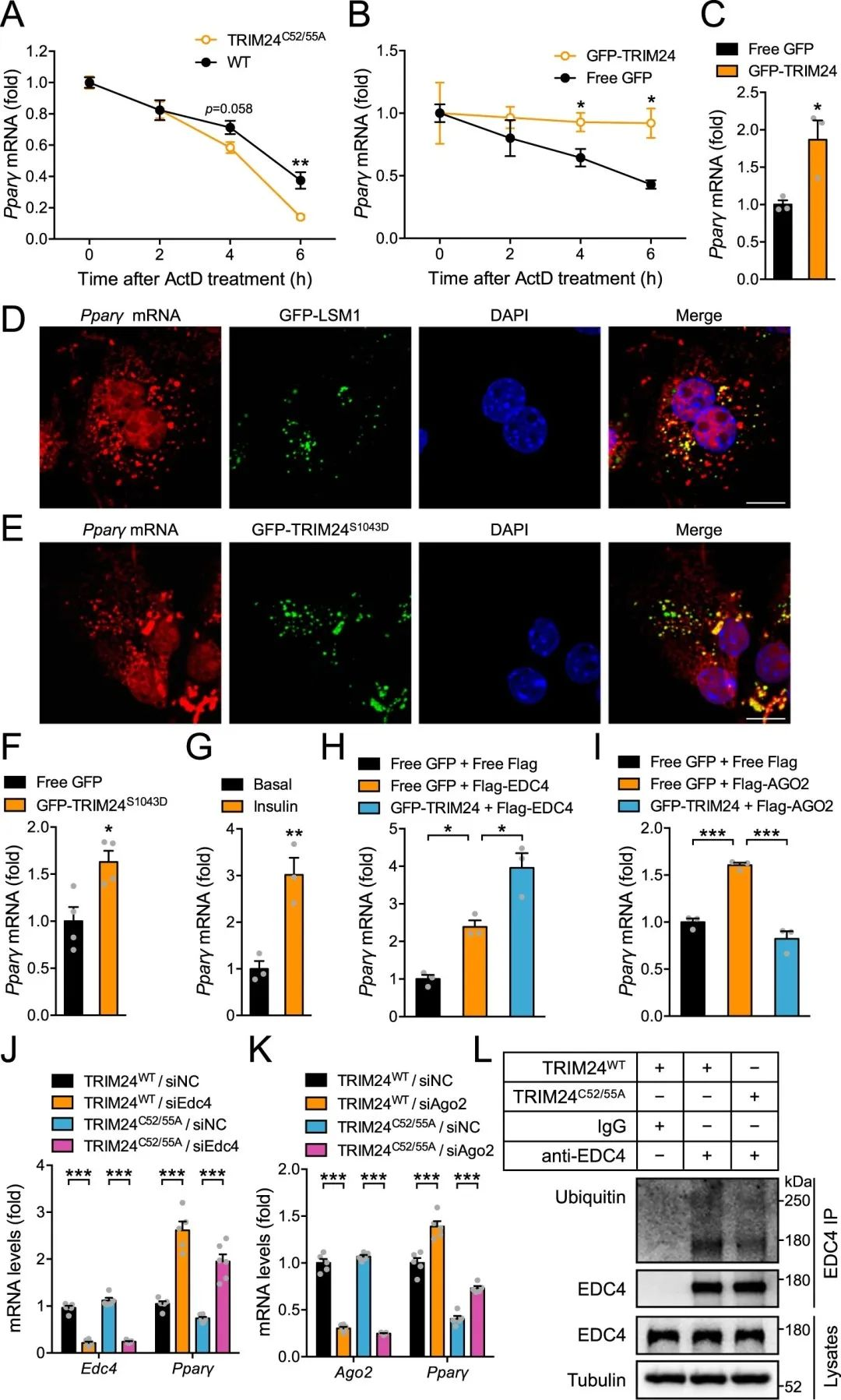
4.TRIM24通过多聚泛素化调节EDC4和AGO2
TRIM24是一种具有环形E3连接酶结构域的多功能蛋白质,因此研究者探究其是否可能泛素化调节EDC4。研究表明,TRIM24与EDC4在HEK293细胞中的共表达增加了EDC4蛋白的泛素化;相反的,破坏环形区域或者引起连接酶死亡的TRIM24C52/55A突变显示出泛素化EDC4的能力受损。基于上述结果,研究者通过碎片分析,发现EDC4M1-H538包含与TRIM24相互作用的WD40域片段。最后通过生物素识别确定了TRIM24与EDC4的相互作用,并引起EDC4泛素化。同样的,研究者也发现了TRIM24能够引起AGO2泛素化,环形结构域缺失或者TRIM24C52/55A突变会抑制AGO2泛素化(图5)。
图5.TRIM24与EDC4和AGO2的相互作用和泛素化影响
5.抑制TRIM24E3连接酶活性可以下调肝脏中脂肪合成基因的表达从而减弱饮食诱导的脂肪肝
为了研究TRIM24与P-bodies在体内的实际作用,通过构建TRIM24C52/55A突变小鼠,在不影响TRIM24蛋白在小鼠中表达的前提下,使用胰岛素处理能够增加TRIM24的胞质丰度,并降低核内丰度。尽管正常饮食对该突变小鼠肝脏甘油三酯含量没有影响,但高脂饲料诱导产生脂肪肝症状时,突变小鼠能通过降低肝脏甘油三酯积累,显著缓解脂肪肝症状。转录组学的分析结果发现在TRIM24C52/55A中,PPAR信号传导和脂肪酸代谢途径均被抑制。PPARγ是肝脂代谢的关键调节剂,研究者进一步评价了其控制肝细胞的脂质储存,TRIM24C52/55A突变与对照相比具有更小的脂滴储存,PPARγ的过表达则会恢复这种变化。综上,E3连接酶能够调控PPARγ信号传导,从而缓解高脂饲料诱导的脂肪肝(图6)。
图6.TRIM24C52/55A突变小鼠脂质代谢的变化
6.TRIM24通过P-bodies调节Pparγ的mRNA稳定性
研究者进一步探究了TRIM24 E3连接酶失活如何在mRNA水平下调Pparγ。使用ActD处理评价Pparγ的mRNA稳定性,发现了TRIM24C52/55A突变的负面效应。由于胞质TRIM24与P-bodies关联在本研究被证实,进一步在荧光原位杂交试验中,显示一部分Pparγ mRNA存在于胞质TRIM24点状体以及存在于LSM1标记的P-bodies中。RNA的免疫沉淀测定结果也表明了TRIM24的E3连接酶活性通过P-bodies调节Pparγ mRNA的稳定性。但是研究者通过进一步探究发现TRIM24除了调节Pparγ mRNA稳定性外可能无法调节Pparγ mRNA翻译(图7)。

图7.TRIM24通过P-bodies调节Pparγ的稳定性
7.TRIM24S1043A突变通过减弱肝脏对脂肪合成基因的表达,缓解饮食诱导的脂肪肝
同样的,研究者通过构建TRIM24S1043A突变小鼠探究了TRIM24-Ser1043磷酸化对体内P-bodies的调节作用。正如预期那样,胰岛素刺激TRIM24磷酸化并将其转移到野生小鼠的细胞质基质中,但不能引起突变小鼠相应磷酸化和胞质易位。该突变小鼠肝脏甘油三酯积累效应与TRIM24C52/55A突变小鼠相似。然而,通过下调LSM1或EDC4可以恢复TRIM24S1043A突变小鼠中Pparγ的表达,表明P-bodies对肝脏Pparγ表达调控的重要性,建立了小鼠体内P-bodies和Pparγ表达之间的因果关系(图8)。
图8.TRIM24S1043A小鼠肝脏脂代谢的变化
结论
本研究通过TRIM24C52/55A以及TRIM24S1043A小鼠模型的研究发现了TRIM24是将胰岛素信号传导与mRNA稳定性联系起来的P-bodies的关键调节因子。这一新的胰岛素作用机理可为脂肪肝疾病的治疗提供新的潜在药物研发靶标。